捍宇前沿
结构性心脏病
前沿探索者
NEW OPPORTUNITIES FOR INNOVATIVE INVESTMENT IN
STRUCTURAL HEART DISEASE
STRUCTURAL HEART DISEASE

近日,复旦大学附属中山医院心研所的魏来教授、周达新教授及心超室潘翠珍教授,完成了一例房性功能性二尖瓣反流(AFMR)病例。手术过程流畅,效果完美。导管操作时间不到20分钟,总手术时间不到50分钟,术后轻微二尖瓣反流。先将病例结果呈现如下:
病例简介
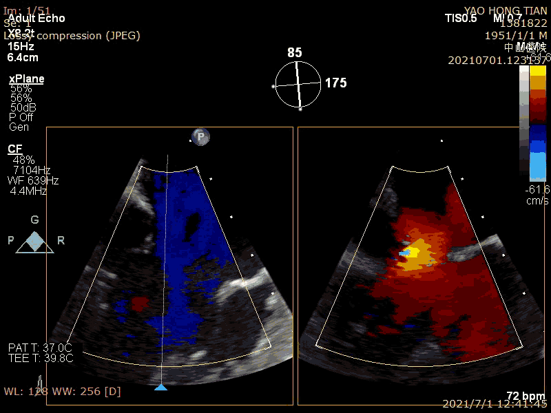
患者,男,70岁。术前超声诊断:左心室射血分数 LVEF 58%,左心室舒张末内径LVDD 52mm,左心房内径LAD 57mm,PASP 63mmHg,二尖瓣瓣尖错位导致重度二尖瓣反流,VC 6*13mm,反流面积19.8cm²(图1-2)。

术前大量反流(VC 6*13mm)

瓣尖错位导致A2P2大量反流
手术过程

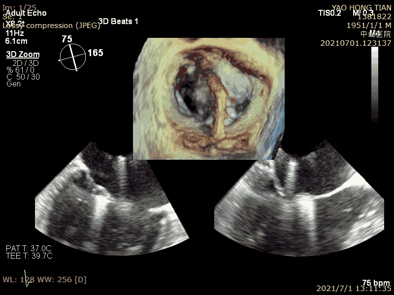
瓣膜捕获

半夹合评估效果

完全夹合评估效果

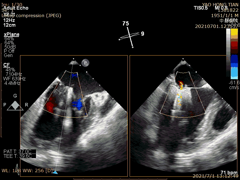
最后效果(轻微反流),最大/平均压:差4/1mmHg
总结与讨论
在二尖瓣反流病因构成中,功能性反流更常见,其为器质性反流的3-4倍(Am Heart J. 2018 ;203:39-48.)。而房性功能性二尖瓣反流(AFMR),在功能性反流里也是非常常见,笔者估测可占到40%。本例结果显示ValveClamp 对AFMR效果良好,操作简便,导管操作时间不到20分钟,总手术时间不到50分钟,术后轻微反流。特别提到的是,本例反流范围达13mm,且反流为多束。一个夹子ValveClamp即起到完美效果,而其他产品很可能需要2-3个夹子,这充分体现了ValveClamp“以小治大” 的设计优点。仅使用单个夹子,可以降低手术难度和手术时间,降低耗材成本。