结构性心脏病
前沿探索者
STRUCTURAL HEART DISEASE
2020年6月23日,福建医科大学附属协和医院暨福建省心脏医学中心心内科陈良龙教授、心外科陈良万教授团队,与复旦大学附属中山医院葛均波院士团队周达新教授、潘文志副主任、李伟医生强强联手,通力协作,为两位高龄重度二尖瓣关闭不全的患者进行了“食道超声引导下经心尖二尖瓣夹合手术”,避免了传统开胸和体外循环,术后两位患者二尖瓣反流均变为轻度,手术取得圆满成功。

ValveClamp二尖瓣夹合器系统手术团队,从左至右:潘文志副主任、陈良万教授、周达新教授、陈良龙教授、方军副主任、丘智煌医生
第一例为男性老年患者,因反复气促、胸闷1年,加重1个月入院,超声心动图评估为二尖瓣后叶P2脱垂,腱索断裂伴重度反流,心外科会诊认为开胸手术高风险,STS评分为10%。患者在全麻下心尖部位切开3cm小切口,在跳动心脏上置入导管植入一枚ValveClamp夹合器,术后即刻经食道超声显示患者的反流降至轻度,手术经心尖切开小切口到关闭切口总时间约60分钟,经心尖导管操作时间仅15分钟左右。

术者进行导管操作

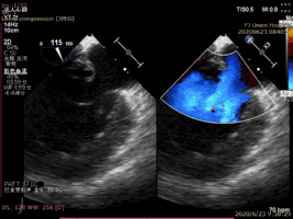
病例1术前二尖瓣反流为重度


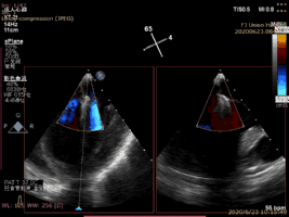
病例1术后二尖瓣反流为轻度
第二例为女性老年患者,因活动后气促、心脏杂音3年余入院,超声心动图评估为二尖瓣后叶P2脱垂、P2偏P1处细小腱索断裂伴重度反流,心外科会诊认为开胸手术高风险,STS评分为6.1%。该患者同样在全麻下植入一枚ValveClamp夹合器,术后即刻显示二尖瓣反流降至轻度,手术用时更少,且无手术并发症发生。

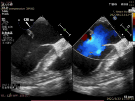
病例2术前二尖瓣反流为重度

\
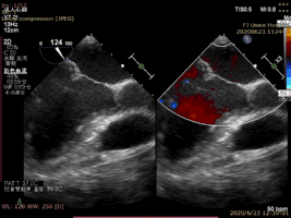
病例2术后二尖瓣反流为轻度
重度二尖瓣关闭不全所并发的心力衰竭和肺动脉高压增加了患者再住院率和死亡率,降低了患者的生活质量。本次手术所用器械ValveClamp,是我国自主研发的首个进入上市前临床试验的二尖瓣反流微创介入治疗器械,其手术是一种“在跳动的心脏上完成的超微创手术”,先在心前区切开3cm切口,在心脏超声指导下穿刺心脏送入器械进行手术操作。该手术具有创伤小,无需心脏停跳及体外循环,故安全性更高,尤其适合于无法耐受传统外科手术的老年患者。
目前ValveClamp已在上海中山、浙二医院、北京阜外、广东省人民、西京医院、四川华西、武汉亚心、北京安贞等国内十余家权威的心脏中心开展,我们期待更多的二尖瓣反流患者可以接受此项微创治疗。