结构性心脏病
前沿探索者
STRUCTURAL HEART DISEASE
OCC 2020
“第十四届东方心脏病学会议(OCC 2020)”通过在线形式为我们呈现一场形式新颖的“云上东方”学术盛宴。
创新是OCC的重要主题,其中,OCC结构论坛曾多次演示在我国具有历史意义的手术。如:
2011年我国首例经导管主动脉瓣植入术(TAVR)(录播)
2012年亚洲首例MitraClip
2013年我国首例经导管肺动脉瓣植入术
2019年亚洲首例经皮异位三尖瓣植入
今日,复旦大学附属中山医院葛均波院士、周达新教授结构团队通过手术直播为我们演示了两例同样具有历史意义的瓣膜介入手术:
·ValveClamp首次实时全程直播
·我国首例TAVR瓣膜衰败再TAVR手术

1
ValveClamp首次实时全程直播
第一例是ValveClamp二尖瓣夹合术。
本病例是ValveClamp第一次在大会上进行实时、全程的手术直播(既往为录播或部分直播)。
患者是71岁老年男性,体格消瘦,极重度二尖瓣反流,后叶P2及部分P3脱垂,同时合并重度肺动脉高压,STS评分6.1%,外科手术风险高。
今天,周达新教授、潘文志副主任医师,心外科魏来教授、心超室潘翠珍教授、李伟主治医师,使用我国自主创新器械ValveClamp(上海捍宇与复旦大学附属中山医院联合研发),成功完成手术。
ValveClamp二尖瓣夹合术是一种“在跳动的心脏上完成的超微创手术”,术中夹合脱垂的二尖瓣,操作简便。
今日手术转播的导管操作时间仅用8分钟,一次性成功。患者术后即刻效果满意,二尖瓣反流从极重度减少到轻中度,未出现二尖瓣狭窄,肺动脉高压从重度降为正常,手术效果良好。
目前,ValveClamp上市前临床研究正在复旦大学附属中山医院、中国医学科学院阜外医院、四川大学华西医院、浙江大学医学院附属第二医院、首都医科大学附属北京安贞医院、广东省人民医院、空军军医大学西京医院等全国10家著名心血管中心进行。

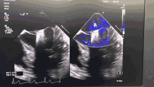
图1 ValveClamp术前经食道心超

图2 ValveClamp术后经食道心超
2
我国首例TAVR瓣膜衰败再TAVR手术
2002年,具有划时代意义的TAVR手术正式问世;
2010年,葛均波院士将这项极具创意的技术引入中国。
今天直播的这位患者是85岁的老年男性,10年前因主动脉瓣重度狭窄植入CoreValve 26mm瓣膜,是我国第一例TAVR患者,术后恢复情况良好。
6个月之前,患者出现反复胸闷气急,心超提示人工生物主动脉瓣置换术后,中重度主动脉瓣口反流,轻度瓣周漏。这例患者目前已85岁,同时合并持续性房颤、高血压、心功能不全Ⅲ级,STS评分7.56%,外科手术风险高危。
葛均波院士、周达新教授结构团队对这位生物瓣衰败的老年男性患者行瓣中瓣植入术,术中选择了23mm VenusA-Valve(杭州启明),植入过程顺利,术后冠脉无堵塞,未出现瓣周漏,术后跨瓣压差接近于0,赢得了参会专家的激烈掌声。
此患者是我国第一例接受TAVR患者,十年后再次接受TAVR,并获得完美结果,意义重大。本病例也是我国第一例TAVR瓣膜衰败患者再次TAVR手术的病例。
本病例的成功也为目前接受TAVR患者远期瓣膜衰败问题的解决提供良好借鉴,为这些患者解除后顾之忧。

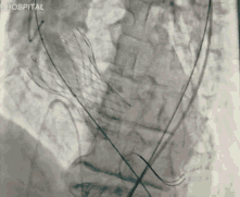
图3 TAVR瓣膜释放前造影

图4 TAVR球囊前扩张

图5 TAVR瓣膜释放后