结构性心脏病
前沿探索者
STRUCTURAL HEART DISEASE
医声网讯:
2018年10月26日,华西医院心脏大血管外科郭应强教授团队,在由葛均波院士领衔的中山医院结构性心脏病专业周达新主任,潘文志教授,潘翠珍,李伟教授团队的指导及大力支持下,联合心脏内科陈玉成,唐红教授团队, 再一次完成ValveClamp微创介入二尖瓣修复术,华西医院在微创瓣膜介入治疗领域再进一步。

患者病情简介:
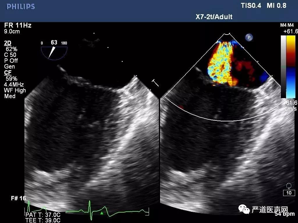
高龄老年男性患者,超声提示二尖瓣后瓣及前瓣脱垂伴重度反流,有明确临床症状,反复出现心衰临床表现,并具有多种合并症。经过讨论,该患者行传统外科手术风险较高,选择性微创ValveClamp治疗。围手术期经食道超声(TEE)确认二尖瓣退行性病变,前瓣后瓣A2/P2脱垂伴重度反流,脱垂区域宽度12mm,手术采用全麻左前胸3cm微创切口,通过心尖如路16F血管鞘完成,无需体外循环及心脏停跳,在TEE引导下准确将上海捍宇医疗创新研发的ValveClamp准确释放于A2/P2脱垂区域,行介入缘对缘(edge-to-edge)修复,整个手术过程顺利,植入时间仅25分钟,无明显失血,术后TEE提示二尖瓣反流即刻为极微量,二尖瓣双孔化形成,二尖瓣平均跨瓣压差仅为2mmHg,瓣口无狭窄,临床效果满意。

图1: TEE提示二尖瓣重度反流
作为我国自主研发的介入二尖瓣缘对缘微创修复器械的典范及中国首个edge-to-edge钳夹类修复器械临床FIM研究,此次手术在华西医院第二次成功顺利的开展,标志着由捍宇医疗创新研发的ValveClamp在由复旦大学附属中山医院主导,中国医学科学院北京阜外医院,四川大学华西医院共同参与的首个FIM研究即将完美收官,其展现出的包括极高的成功率,极佳的可靠行及安全性,也使得我国成为目前少数能够自主研发高端二尖瓣微创介入产品的国家,相信该技术能够为中国广大的高龄退行性瓣膜病变患者提供更加微创,安全,有效的治疗方式。
(供稿:复旦大学附属中山医院 潘文志,四川大学华西医院 朱达)