结构性心脏病
前沿探索者
STRUCTURAL HEART DISEASE
近日,温州医科大学附属第一医院王珏教授联合超声科、麻醉科、手术室等多个科室的全力配合下应用二尖瓣夹系统(ValveClamp®)为一位高龄高危重度二尖瓣反流患者成功完成温州首例经心尖介入二尖瓣修复手术(TA-TEER),这例手术是在心脏不停跳的情况进行二尖瓣夹合,提升患者心脏供血能力,具有“低外科损伤”与“高效即刻治愈”的特点,这例手术同时也是温州医科大学附属第一医院王珏教授使用ValveClamp®经心尖二尖瓣夹系统独立完成的高难度的挑战型DMR病例。
背景介绍
二尖瓣反流是全球常见的心脏瓣膜疾病,总体人群发病率为1.7%,随年龄增长发病率升高,如果不积极治疗,会导致患者出现心律不齐、心衰、中风、甚至猝死的风险。二尖瓣重度反流的介入治疗一直是心血管介入领域的难点和热点,TEER已成为目前治疗二尖瓣重度反流的有效手段,目前是最为成熟,唯一被国际和国内指南推荐的经导管二尖瓣介入治疗方式。经心尖-TEER手术操作简单,高效夹合,手术无需开胸,无需体外循环,无需X射线,在纯食道超声引导下开展,病人创伤小,恢复快等特点。
术前讨论
术前,在心外科主任王珏教授的主持下,为该患者术前情况组织了病例讨论,对手术适应证及术中可能出现的并发症和应对策略进行了全面分析。经团队充分评估后决定为这位高危二尖瓣重度反流患者实施经心尖介入二尖瓣夹合(TA-TEER)。
病例简介
患者:77岁,女性
主诉:体检发现二尖瓣脱垂20天,既往高血压史20年
术前诊断:二尖瓣脱垂(P2、C1脱入左房)并重度关闭不全、左心功能射血分数60%,主动脉瓣钙化、轻度肺动脉高压、轻度三尖瓣反流、卵圆孔未闭;肾囊肿、肝囊肿、胆囊术后。
术前检查
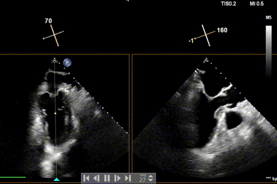
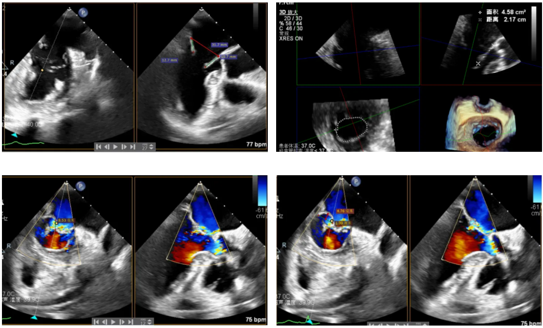
患者为原发性二尖瓣反流(DMR),收缩期可见二尖瓣反流信号,反流位于 2 偏 3 区,基线期二尖瓣反流程度4+。


前叶长度 15.7mm,后叶长度 12.7mm,后叶脱垂宽度13.9mm,脱垂高度4.76mm, 瓣环直径37.1mm,VC:4*7mm, MVA约4cm² 。瓣叶质地较差,腱索断裂、后瓣叶脱垂。

手术策略
由于脱垂范围较宽,为保证反流程度有效降低,首先需要在2偏3区位置垂直二尖瓣闭合线方向进行夹合,夹合后如果还存在残余反流,需在2偏3位置再放置一枚二尖瓣夹进行夹合,注意压差及瓣口面积。
手术难点
患者高龄,二尖瓣后叶脱垂范围宽13.9mm,合并高血压、主动脉钙化、肺动脉高压、肾囊肿、肝囊肿等疾病。
术前超声




术中操作
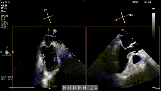
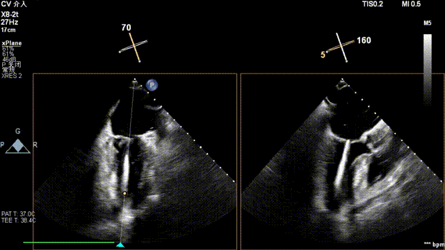
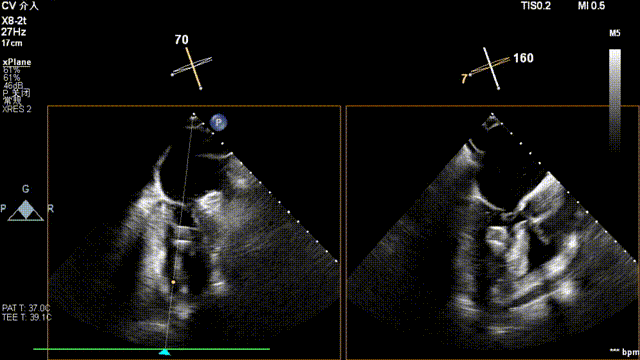
全麻后,二尖瓣夹合器系统在心前区的肋间切开3-4CM小切口,暴露心脏的心尖位置,送系统送入左心房,顺利到达病变二尖瓣区域。在经食道超声辅助下,术者通过反复评估二尖瓣反流位置、抓捕位置、反流程度,首先在2偏3区位置处于二尖瓣闭合线垂直进行巧妙夹合。在2区靠近3区位置处植入了1枚ValveClamp®MVC-IIf夹,最终评估评估反流降至轻度,平均跨瓣压差降至2mmHg,手术取得圆满成功。
术中超声(关键步骤)


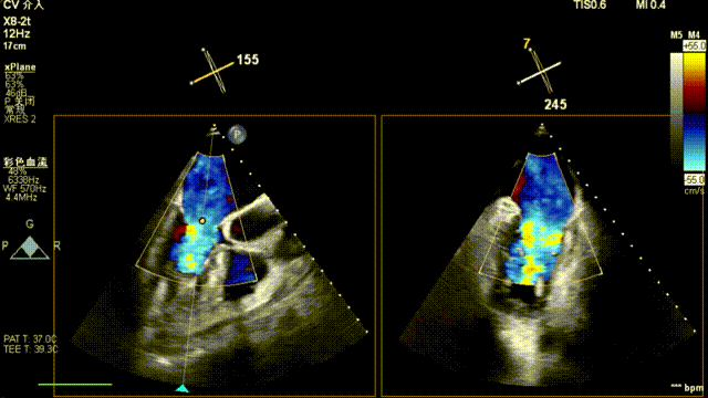
术后超声
最终在A3P2位置夹合,前叶夹合量10mm,后叶夹合量8mm,剩余瓣口面积3.45cm²,平均跨瓣压差2mmHg,反流基本消除。
术后30天
专家简介
王珏
温州医科大学附属第一医院(点击查看专家详细简历)